Tin KHCN nước ngoài

Thiết bị tự hành dưới nước giúp kiểm tra đập thủy điện, tàu thuyền

(01/12/2020)

Công ty khởi nghiệp Notilo-Plus ở Marseille đã thiết kế các mẫu thiết bị tự hành có chức năng thu thập dữ liệu trong môi trường nước


Công nghệ mới giúp hạn chế tình trạng cháy rừng do sét đánh

(30/11/2020)

Một nhóm các nhà khoa học đến từ Đại học Quốc gia Austrɑlia (ANU) và UNSW Canberra đang phát triển công nghệ laser mới giúp kiểm soát đường đi và hướng của tia sét, từ đó giúp hạn chế tình trạng cháy rừng do sét đánh.


Đức phát triển tàu chạy bằng hydro thân thiện với môi trường

(30/11/2020)

Công ty Đường sắt quốc gia của Đức cho biết đang phát triển một mẫu tàu hydro mới, hướng tới tương lai không phát thải khí carbon.


Máy in 3D tốc độ 10 tấn bê tông mỗi giờ

(30/11/2020)

Máy in 3D dùng cho xây dựng được giới thiệu là nhanh nhất thế giới dự kiến xây tòa nhà ba tầng trong 6 tuần.


Da thông minh có thể tự chữa lành trong vòng chưa đầy 1 giây

(30/11/2020)
Các nhà khoa học cho biết, da điện tử (e-skin), một loại da tổng hợp thông minh mới có thể tự phục hồi trong vòng chưa đầy một giây được lấy cảm hứng từ bộ phim khoa học viễn tưởng “Kẻ hủy diệt”. E-skin cũng bền, co giãn và nhạy cảm như da người, có thể được sử dụng để theo dõi sức khỏe của một người hoặc trạng thái cấu trúc của máy bay.

Điện thoại thông minh kháng khuẩn đầu tiên trên thế giới

(30/11/2020)
Mới đây, Tập đoàn điện thoại di động Bullitt đã giới thiệu chiếc điện thoại thông minh kháng khuẩn đầu tiên trên thế giới sử dụng ion bạc để giảm sự lây lan của vi khuẩn tới 99,9% chỉ trong 24 giờ.

Robot tí hon giúp hàn gắn tế bào tổn thương

(30/11/2020)
Nghiên cứu được đăng trên tạp chí Science Advances cho thấy, những robot siêu nhỏ có thể mở ra những cách thức phức tạp hơn nhằm phát triển mạng lưới tế bào thần kinh trong phòng thí nghiệm.

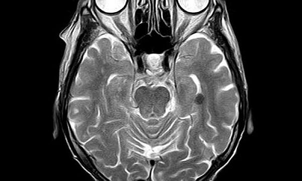
Chế tạo máy chụp cộng hưởng từ não có thể di động với giá thành rẻ

(27/11/2020)
Khi nói đến chụp cộng hưởng từ não để đánh giá chấn thương ở đầu, phát hiện ung thư não và thực hiện nhiều xét nghiệm khác, thì chụp cộng hưởng từ (MRI) là lựa chọn tốt nhất, nhưng máy MRI có giá thành đắt đỏ, cần đến hạ tầng đặc biệt và không di động. Giờ đây, một nhóm nghiên cứu tại Bệnh viện Đa khoa Massachusetts đã chế tạo được máy MRI "chỉ dành cho đầu" có giá thành rẻ, công suất thấp, nhỏ gọn, di động để gắn trong xe cứu thương, có thể đẩy vào phòng bệnh, đưa vào phòng khám tư hoặc bệnh viện bằng bánh xe. Nghiên cứu đã được công bố trên tạp chí Nature Biomedical Engineering.

Chiếc bút có thể phân hủy đầu tiên trên thế giới

(24/11/2020)

Chiếc bút do công ty thiết kế Italy Carlo Ratti Associati (CRA) tạo ra là loại bút được chế tạo riêng cho robot vẽ tường Scribit hiện có của công ty, nhưng nó cũng có thể được sử dụng để viết, vẽ bằng tay.