Tin KHCN trong nước

Nghiên cứu thiết kế, chế tạo máy đo độ loãng xương toàn thân bằng tia X (23/08/2016)

Từ tháng 2/2012-2/2014, nhóm nghiên cứu tại Viện Máy và Dụng cụ công nghiệp do TS. Đỗ Văn Vũ dẫn đầu, đã thực hiện Đề tài “Nghiên cứu thiết kế, chế tạo máy đo độ loãng xương toàn thân bằng tia X”.


Nghiên cứu một số vấn đề ghép tụy trên thực nghiệm để tiến tới ghép tụy trên người ở Việt Nam (23/08/2016)

Trong thời gian từ năm 2012-2014, nhóm nghiên cứu tại Học Viện quân y do TS. Trịnh Cao Minh làm dẫn đầu, đã hoàn thành Đề tài: “Nghiên cứu một số vấn đề ghép tụy trên thực nghiệm để tiến tới ghép tụy trên người ở Việt Nam”.


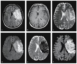
Nghiên cứu ứng dụng chụp cộng hưởng từ xung khuếch tán và tưới máu trong chẩn đoán sớm và tiên lượng nhồi máu não cấp (23/08/2016)

Năm 2015, nhóm nghiên cứu do GS.TS. Phạm Minh Thông, Bệnh viện Bạch Mai, Bộ Y tế đã tiến hành nghiên cứu đề tài: “Nghiên cứu ứng dụng chụp cộng hưởng từ xung khuếch tán và tưới máu trong chẩn đoán sớm và tiên lượng nhồi máu não cấp” với các nội dung nghiên cứu chính bao gồm Nghiên cứu đặc điểm hình ảnh cộng hưởng (MRI) từ nhồi máu não như thời gian từ khi khởi phát đến khi được chụp MRI, vị trí nhồi máu não, vị trí tắc mạch máu, số lượng thương tổn, thể tích tổn thương nhồi máu não. Vai trò của cộng hưởng từ trong chẩn đoán và tiên lượng nhồi máu não và giá trị của MRI với các chuỗi xung khác nhau. Nghiên cứu vai trò phố hợp các chuỗi xung trong tiên lượng nhồi máu não của cộng hưởng từ. Nghiên cứu hình ảnh MRI và biến chứng chảy máu nội sọ sớm. Các kết quả nghiên cứu đã được công bố trên tạp chí Điện quang Việt Nam và tạp chí Y học thực hành.


Giải thưởng Nhà nước về KH&CN: Diện mạo mới của nền khoa học Việt Nam (23/08/2016)

Các công trình khoa học đặc biệt xuất sắc được đề nghị xét tặng Giải thưởng về KH&CN đợt 5 cho thấy một diện mạo mới của nền khoa học Việt Nam.


Hiệu quả thực hiện chính sách, pháp luật về phát triển khoa học và công nghệ (19/08/2016)

Sáng 12/8/2016, tại Nhà Quốc hội, Đoàn giám sát của Ủy ban Thường vụ Quốc hội làm việc với Chính phủ, đại diện các Bộ ngành về “Hiệu quả thực hiện chính sách, pháp luật về phát triển khoa học, công nghệ

Bàn giao giàn khoan tự nâng "made in Việt Nam" (19/08/2016)

Chiều 12/8/2016, tại TP. Vũng Tàu, Công ty cổ phần Chế tạo giàn khoan Dầu khí (PV Shipyard) đã bàn giao giàn khoan tự nâng Tam Đảo 05 cho Liên doanh Việt-Nga Vietsovpetro.


Đổi mới công nghệ trong các doanh nghiệp công nghiệp hỗ trợ Việt Nam (19/08/2016)

Ngày 10/8/2016, tại Hà Nội, Quỹ Đổi mới công nghệ quốc gia (Bộ Khoa học và Công nghệ) đã tổ chức hội thảo khoa học “Thực trạng và nhu cầu đổi mới công nghệ trong các doanh nghiệp công nghiệp hỗ trợ Việt Nam”.


Tọa đàm giới thiệu chương trình Hỗ trợ của Quỹ TEKES - Phần Lan cho doanh nghiệp đổi mới sáng tạo (19/08/2016)

Sáng ngày 18/8/2016, tại Trụ sở 39 Trần Hưng Đạo, Hoàn Kiếm, Hà Nội, Cục Phát triển thị trường và doanh nghiệp khoa học và công nghệ - Bộ Khoa học và Công nghệ (Cục PTTTDN) phối hợp với Chương trình đối tác đổi mới sáng tạo Việt Nam - Phần Lan (IPP2) tổ chức buổi tọa đàm giới thiệu chương trình Hỗ trợ của Quỹ TEKES - Phần Lan cho doanh nghiệp đổi mới sáng tạo.


Tổ chức xét giải thưởng “Sinh viên nghiên cứu khoa học” năm 2016 (18/08/2016)

Bộ GD&ĐT vừa ban hành Công văn về tổ chức xét tặng trao Giải thưởng “Sinh viên nghiên cứu khoa học” năm 2016.


Điều khiển và ghi nhận dữ liệu hệ quan trắc phóng xạ thông qua mạng Internet (18/08/2016)

Thiết bị quan trắc và cảnh báo phóng xạ môi trường là một mắt xích trong thành phần kết nối mạng quan trắc phóng xạ quốc gia. Một trong những yêu cầu của mạng là phải truyền dẫn được dữ liệu qua mạng internet. Việc lựa chọn phương án truyền dẫn dữ liệu hệ quan trắc qua mạng internet và xây dựng phần mềm điều khiển cho trung tâm điều khiển là khâu quan trọng cuối cùng trong thiết kế chế tạo thiết bị cảnh báo phóng xạ môi trường. Lựa chọn phương án truyền tốt sẽ đảm bảo việc liên kết tốt giữa thiết bị và phần mềm điều khiển tại trung tâm điều hành, tận dụng tối đa cơ sở hạ tầng mạng tại vị trí lắp đặt, tối giản chi phí duy trì hoạt động, tạo điều kiện thuận lợi trong việc bảo dưỡng thiết bị. Phần mềm điều khiển tại trung tâm có nhiệm vụ điều khiển thu nhận và chỉ thị kết quả quan trắc theo thời gian thực, qua đó đưa ra những cảnh báo kịp thời với những biến động phóng xạ trong môi trường.